Vaskuläre Demenz Mrt Befund

Vaskulare Demenz Wie Erkennen Und Behandeln

Vaskulare Demenz Wie Erkennen Und Behandeln

Neuroradiologie Wie Behandelbare Formen Der Demenz Erkannt Werden

Neuroradiologie Wie Behandelbare Formen Der Demenz Erkannt Werden

Demenz Diagnostik Fur Die Hausarztpraxis Allgemeinarzt Online

Demenz Diagnostik Fur Die Hausarztpraxis Allgemeinarzt Online

Demenzerkrankungen Im Uberblick

Demenzerkrankungen Im Uberblick

Http Www Dgn Org Images Red Leitlinien Ll 2008 Ll08kap 018 Pdf

Http Www Dgn Org Images Red Leitlinien Ll 2008 Ll08kap 018 Pdf

Subkortikale Arteriosklerotische Enzephalopathie Wikipedia

Subkortikale Arteriosklerotische Enzephalopathie Wikipedia

Subkortikale Arteriosklerotische Enzephalopathie Wikipedia

Die altersgemässe kognitive.

Vaskuläre demenz mrt befund. Vaskuläre demenz plus alzheimer demenz. Zur feststellung einer demenz bei alzheimer krankheit müssen andere erkrankungen die ebenfalls anzeichen einer demenz zeigen können abgeklärt werden. Klinik und ct befund sind nicht miteinander 1 1 korreliert. Die studie an 276 patienten mit einem.

Vaskuläre demenz 15 s. Die diagnose der demenz muss abgegrenzt werden v a. Mit ct oder mrt sind bei diesen patienten sehr charakteristische aufgeblähte liquorräume zu sehen. Vaskuläre demenz als zweithäufigste ursache für demenz betrachtet wird erst nach der alzheimer krankheit das macht 20 bis 30 prozent der fälle.

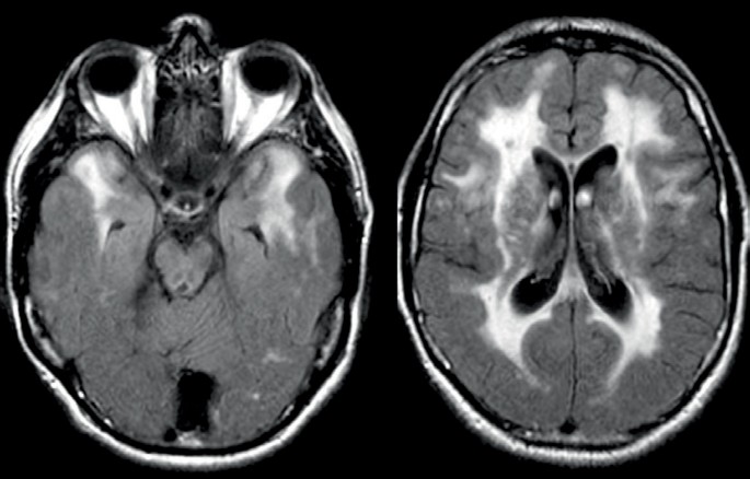
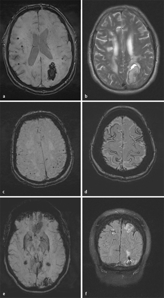
Das ct mrt eignet sich bei vaskulären demenzen daher häufig eher zur verlaufskontrolle als zur prognostischen einschätzung. Ms wurde nun nach langen hin und her ausgeschlossen und ich habe gelesen dass es die vaskuläre demenz gibt. Dabei fand man multiple zerebrale marklagerläsionen. Vaskuläre veränderungen beginnen in gehirnbereichen auftritt wo eine wichtige rolle spielen beim abrufen und speichern von informationen.

Zerebrale mikroangiopathien und vaskuläre demenz hintergrund die zerebralen mikroangiopathien als erkrankungen der kleinen hirngefäße stellen eine wesentliche ursache von lakunären schlaganfällen hirnblutungen und kognitiver beeinträchtigung im höheren lebensalter dar. Eine verkalkung der hirngefäße vaskuläre demenz eine demenz mit lewy körperchen gut und bösartige hirntumore aids ein parkinson syndrom die erbkrankheit chorea huntington eine unterfunktion der. Keiner weiß woher diese kommen. Die vaskuläre demenz nimmt keinen einheitlichen verlauf die zugrunde liegenden krankheitsmechanismen können ja sehr unterschiedlich sein.

Oben demenz mit lewy körpern 5 funktionseinschränkungen im alltag bei zu beginn oft noch gut erhaltenem gedächtnis fluktuation von aufmerksamkeit und wachheit parkinson syndrom in 25 50 der fälle bei erkrankungs beginn visuelle halluzinationen neuroleptika überempfindlichkeit. Manche vaskuläre demenz formen schreiten aber auch langsam fort. Hier kann die demenz durch einen einfachen ventrikel shunt aufgehalten werden so der radiologe. Eine mrt studie zeigte dass isolierte lakunäre infarkte zu kortikalen ausdünnungen führten.

Differentialdiagnostik zu anderen störungsbilder. Es geht um meine mutter 54.

Vorlesungsfolien Benutzername Student Passwort Psy2011 Homepage

Vorlesungsfolien Benutzername Student Passwort Psy2011 Homepage

Ogn 2012 Schlaganfall Prodromi Unterschatzen Wir Die Haufigkeit

Ogn 2012 Schlaganfall Prodromi Unterschatzen Wir Die Haufigkeit

Vaskulare Demenz Hintergrund Therapie Wegweiser Demenz

Vaskulare Demenz Hintergrund Therapie Wegweiser Demenz

Demenz Diagnostik Und Therapie Johannes Pantel Pdf Free Download

Demenz Diagnostik Und Therapie Johannes Pantel Pdf Free Download

Inzidentelle Befunde Vaskularer Atiologie In Der Kranialen Mrt

Inzidentelle Befunde Vaskularer Atiologie In Der Kranialen Mrt

Demenz Fruherkennung Ein Bluttest Verrat Das Alzheimer Risiko

Demenz Fruherkennung Ein Bluttest Verrat Das Alzheimer Risiko

Alzheimer Lasst Sich Immer Fruher Erkennen

Alzheimer Lasst Sich Immer Fruher Erkennen

Mrt Bei Demenziellen Erkrankungen Springerlink

Mrt Bei Demenziellen Erkrankungen Springerlink

Https Www Bayerisches Aerzteblatt De Fileadmin Aerzteblatt Ausgaben 2006 10 Einzelpdf Bab1006 478 481 Pdf

Https Www Bayerisches Aerzteblatt De Fileadmin Aerzteblatt Ausgaben 2006 10 Einzelpdf Bab1006 478 481 Pdf

Https Link Springer Com Content Pdf 10 1007 2f978 3 642 16920 5 40 Pdf

Https Link Springer Com Content Pdf 10 1007 2f978 3 642 16920 5 40 Pdf

Bildgebende Verfahren Pdf Free Download

Bildgebende Verfahren Pdf Free Download

Gangstorungen Im Alter

Gangstorungen Im Alter

Vaskulare Demenz Risikofaktoren Verlauf Und Therapie Netdoktor

Vaskulare Demenz Risikofaktoren Verlauf Und Therapie Netdoktor

Zerebrale Amyloidangiopathie Und Demenz Springerlink

Zerebrale Amyloidangiopathie Und Demenz Springerlink

Bildgebung Bei Ms Schlaganfall Gehirntumor Philips Healthcare

Bildgebung Bei Ms Schlaganfall Gehirntumor Philips Healthcare

Https Www Thieme Connect De Products Ebooks Pdf 10 1055 B 0034 40149 Pdf

Https Www Thieme Connect De Products Ebooks Pdf 10 1055 B 0034 40149 Pdf

Pdf Vaskulare Demenz

Pdf Vaskulare Demenz

Mikroangiopathien Und Leukodystrophien Als Differenzialdiagnosen

Mikroangiopathien Und Leukodystrophien Als Differenzialdiagnosen

Source : pinterest.com