Vaskuläre Demenz Ct

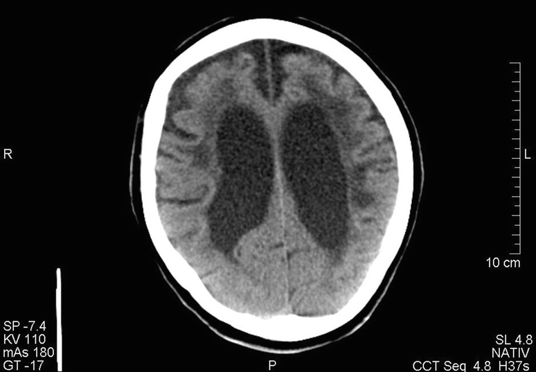
Abb 1 Ct Einer 90 Jahrigen Patientin Mit Einem Ausgepragten

Abb 1 Ct Einer 90 Jahrigen Patientin Mit Einem Ausgepragten

Vaskulare Enzephalopathie Im Mrt Vaskulare Demenz Wie Erkennen

Vaskulare Enzephalopathie Im Mrt Vaskulare Demenz Wie Erkennen

Http Www Dgn Org Images Red Leitlinien Ll 2008 Ll08kap 018 Pdf

Http Www Dgn Org Images Red Leitlinien Ll 2008 Ll08kap 018 Pdf

Vaskulare Demenz Wie Erkennen Und Behandeln

Vaskulare Demenz Wie Erkennen Und Behandeln

Binswanger S Disease Clinical And Computed Tomography

Binswanger S Disease Clinical And Computed Tomography

Demenz Asklepios Klinik Nord Heidberg

Demenz Asklepios Klinik Nord Heidberg

Demenz Asklepios Klinik Nord Heidberg

Vascular dementia also known as vascular cognitive impairment is the second most common cause of dementia after the far more common alzheimer disease.

Vaskuläre demenz ct. Vascular dementia diagnosis brain scans such as ct computerised tomography or mri magnetic resonance imaging may be helpful in giving a diagnosis of vascular dementia. Vascular dementia is widely considered the second most common cause of dementia after alzheimer s disease accounting for 5 to 10 of cases. A scan such as ct computerised tomography or mri magnetic resonance imaging may rule out a tumour or build up of fluid inside the brain. Sie ist nach der alzheimer krankheit die zweithäufigste form von demenz.

Außerdem gibt es mischformen beider demenzerkrankungen. For a ct scan you ll lie on a narrow table that slides into a small chamber. Hier kann die demenz durch einen einfachen ventrikel shunt aufgehalten werden so der radiologe. Computerized tomography ct scan.

Dementia causes problems with memory thinking behavior language skills and decision making. Brain imaging procedures your doctor may recommend to help diagnose vascular dementia include. Mit ct oder mrt sind bei diesen patienten sehr charakteristische aufgeblähte liquorräume zu sehen. It is primarily seen in patients with atherosclerosis and chronic hypertension and results fr.

These can have symptoms similar to those of vascular dementia. Die beiden demenzformen werden oft miteinander verwechselt. Vascular dementia is the second most common form of dementia after alzheimer s disease affecting almost a third of people over age 70. A person suspected of having vascular dementia will generally have a brain scan to look for any changes that have taken place in the brain.

Vascular dementia is a general term describing problems with reasoning planning judgment memory and other thought processes caused by brain damage from impaired blood flow to your brain. You can develop vascular dementia after a stroke blocks an artery in your brain but strokes don t always cause vascular dementia. Key types of dementia mixed dementia. Dementia causes a decline in brain function or cognitive abilities beyond what is expected from the normal aging process.

Demenz Die Krankheit Des Vergessens

Demenz Die Krankheit Des Vergessens

Http Www Radiologie Ruhrgebiet De Klinik Pdf Bildgebung Demenz Pdf

Http Www Radiologie Ruhrgebiet De Klinik Pdf Bildgebung Demenz Pdf

Subkortikale Arteriosklerotische Enzephalopathie Wikipedia

Subkortikale Arteriosklerotische Enzephalopathie Wikipedia

Vascular Dementia Radiology Reference Article Radiopaedia Org

Vascular Dementia Radiology Reference Article Radiopaedia Org

Bildgebende Verfahren In Der Psychiatrie Springerlink

Bildgebende Verfahren In Der Psychiatrie Springerlink

Demenzdiagnostik Und Therapie Was Ist Wichtig In Der

Demenzdiagnostik Und Therapie Was Ist Wichtig In Der

Wenn Das Gehirn Weiss Wird

Wenn Das Gehirn Weiss Wird

Ll 030 063 2018 Normaldruckhydrozephalus

Ll 030 063 2018 Normaldruckhydrozephalus

The Radiology Assistant Dementia Role Of Mri Radiology

The Radiology Assistant Dementia Role Of Mri Radiology

Thomas Gattringer Neurology And Neurointensive Care Consultant

Thomas Gattringer Neurology And Neurointensive Care Consultant

Ppt Demenz Powerpoint Presentation Free Download Id 1292884

Ppt Demenz Powerpoint Presentation Free Download Id 1292884

Neuropsychologische Storungsprofile Bei Verschiedenen Demenzformen

Neuropsychologische Storungsprofile Bei Verschiedenen Demenzformen

Entzundliche Erkrankungen Des Zentralen Nervensystems Und Multiple

Entzundliche Erkrankungen Des Zentralen Nervensystems Und Multiple

Neurologie Springerlink

Neurologie Springerlink

Https Link Springer Com Content Pdf 10 1007 2f978 3 540 89569 5 7 Pdf

Https Link Springer Com Content Pdf 10 1007 2f978 3 540 89569 5 7 Pdf

Kopf Und Hals Hno Universitatsinstitut Fur Diagnostische Und

Kopf Und Hals Hno Universitatsinstitut Fur Diagnostische Und

Vorlesungsfolien Benutzername Student Passwort Psy2011 Homepage

Vorlesungsfolien Benutzername Student Passwort Psy2011 Homepage

Https Www Zemodi De Documents Egger Neurodegeneration 1509025477 Pdf

Https Www Zemodi De Documents Egger Neurodegeneration 1509025477 Pdf

Source : pinterest.com