Apoplex Mrt Oder Ct

Zerebrale Bildgebung Ct Vs Mrt Ogpb

Zerebrale Bildgebung Ct Vs Mrt Ogpb

Schlaganfall Ct Oder Mrt

Schlaganfall Ct Oder Mrt

Apoplex Schlaganfall

Apoplex Schlaganfall

Der Ischamische Hirninfakt Schlaganfall Diagnose Therapie

Der Ischamische Hirninfakt Schlaganfall Diagnose Therapie

Bildgebung Bei Ms Schlaganfall Gehirntumor Philips Healthcare

Bildgebung Bei Ms Schlaganfall Gehirntumor Philips Healthcare

Neuroimaging Bei Schlaganfall Medmedia

Neuroimaging Bei Schlaganfall Medmedia

Neuroimaging Bei Schlaganfall Medmedia

Von mikrofrakturen oder bei der frage nach entzündungen oder tumore überlegen.

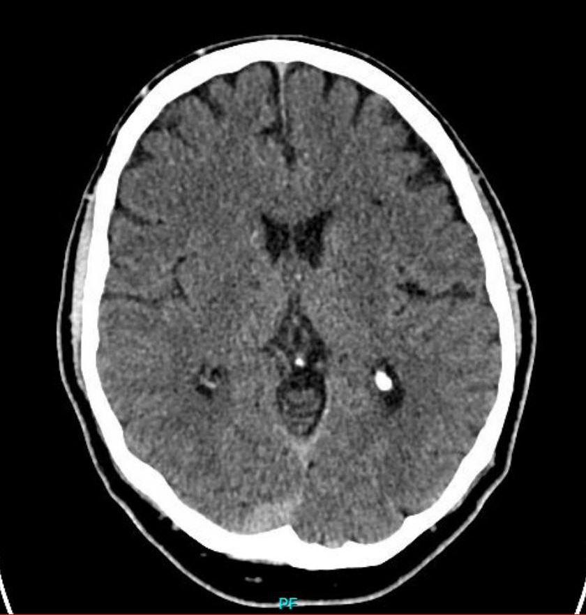
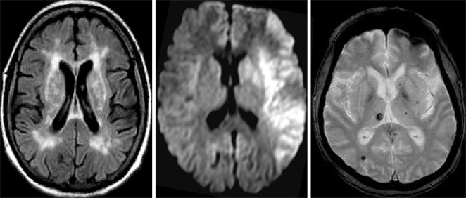
Apoplex mrt oder ct. Jedes verfahren hat seine vor nachteile. Sie haben eine hohe sensitivität im bezug auf den nachweis intrazerebraler und subarachnoidaler blutungen wie auch subduraler hämatome. Nicht kontrastierte schädel ct s stellen die bildgebung der ersten wahl dar wenn es um die abklärung eines apoplex mit unterscheidung zwischen ischämischem und hämorrhagischem schlaganfall und den ausschluss anderer intrakranieller pathologien geht. Die mrt ist der ct in der detektion von ischämien verminderte durchblutung überlegen sie kann diese früher und bereits bei geringerer größe nachweisen.

Ob ct oder mrt nach schlaganfall beide verfahren erlauben einen detaillierten blick in den körper und vor allem in den kopf des betroffenen. Ct und mrt wenn ein patient mit dem verdacht auf einen schlaganfall ins krankenhaus eingeliefert wird dann ist für ihn nach der anamnese und der körperlichen und neurologischen untersuchung die erste station die computertomografie ct oder die kernspintomografie mrt. Das haus implementierte 1994 eine der ersten schlaganfallstationen in deutschland. Mrt oder ct vom kopf was ist besser.

Die mrt ist der ct bekanntermaßen in der detektion von ischämien überlegen. Eine schlaganfall diagnose sowie die ursachen eines schlaganfalls lassen sich im ct oder mrt detailliert feststellen und anschließend auch behandeln. Sie ist besser geeignet kleinere ischämische hirnläsionen sehr früh nachzuweisen. Mit der ct kann diese frage nicht geklärt werden.

Häufig wird beim schlaganfall eine konventionelle ct des schädels durchgeführt hiermit kann man in der akutphase unterscheiden ob der schlaganfall durch eine blutung hämorrhagisch oder durch einen gefäßverschluss ischämischer hirninfarkt verursacht wurde was von entscheidender bedeutung für die weitere therapie ist. Instabil ist würde ich ebenfalls die ct bevorzugen. Beide modalitäten ct und mrt stehen hier rund um die uhr zur verfügung. Zudem zeigt sie mit größerer sicherheit als die ct ischämien des hirnstamms oder mikroangiopathische subkortikale infarkte.

über eine gegensprechanlage und eine kamera bleibt er dabei mit dem per sonal in kontakt. Nationale und internationale leitlinien empfehlen die bildgebung mit kranialer ct oder mrt. Wenn es schnell gehen muss weil der patient z b. Forsting schätzt jedoch dass er etwa 90 prozent der therapierelevanten fragen beim hirninfarkt mit der ct abklären kann.

Im mrt ist ein lautes klopfen zu hören. Dies macht die mrt der ct bei der frage nach frakturen insbesondere i r. Insbesondere für den nachweis chronischer blutungen scheint die mrt der ct sogar deutlich überlegen zu sein 11 12.

Welches Potential Hat Die Xenon Mrt

Welches Potential Hat Die Xenon Mrt

Craniale Computertomographie Wikipedia

Craniale Computertomographie Wikipedia

Neuroradiologie Behandlungsschwerpunkte Kliniken Nordoberpfalz

Neuroradiologie Behandlungsschwerpunkte Kliniken Nordoberpfalz

Schlaganfall Diagnose Wie Der Arzt Den Schlaganfall Feststellt

Schlaganfall Diagnose Wie Der Arzt Den Schlaganfall Feststellt

Mrt Nach Schlaganfall Mri After Ischemic Stroke Youtube

Mrt Nach Schlaganfall Mri After Ischemic Stroke Youtube

Neuroimaging Und Schlaganfall Aktuelles Von Der European Stroke

Neuroimaging Und Schlaganfall Aktuelles Von Der European Stroke

Diagnostische Bildgebung

Diagnostische Bildgebung

Notfall Schlaganfall Klinik Via Medici

Notfall Schlaganfall Klinik Via Medici

Ganzkorper Mrt Kann Risiko Fur Herzinfarkt Und Schlaganfall Bei

Ganzkorper Mrt Kann Risiko Fur Herzinfarkt Und Schlaganfall Bei

8mvwvsd7h M7xm

8mvwvsd7h M7xm

Mrt Aufnahmen Des Gehirns Mit Schlaganfall Mri Brain Mri Scan

Mrt Aufnahmen Des Gehirns Mit Schlaganfall Mri Brain Mri Scan

Schlaganfall Schlaganfallnetzwerk Schleswig Holstein

Schlaganfall Schlaganfallnetzwerk Schleswig Holstein

Diagnostik Mit Hindernissen Stroke Mimics Und Kindlicher Schlaganfall

Diagnostik Mit Hindernissen Stroke Mimics Und Kindlicher Schlaganfall

Schlaganfall Test Diagnose Schlaganfall Feststellen Pflege De

Schlaganfall Test Diagnose Schlaganfall Feststellen Pflege De

Figure 3 From Wert Der Konventionellen Mrt Flair Und T2 W Zur

Figure 3 From Wert Der Konventionellen Mrt Flair Und T2 W Zur

Http Www Hippocampus De Media 316 Cms 4a94e4fd0a556 Pdf

Http Www Hippocampus De Media 316 Cms 4a94e4fd0a556 Pdf

Mrt Gefassangiographie Risiko Herzinfarkt Und Schlaganfall

Mrt Gefassangiographie Risiko Herzinfarkt Und Schlaganfall

Drei Highlights Aus Der Radiologie Neuroradiologie Und

Drei Highlights Aus Der Radiologie Neuroradiologie Und

Source : pinterest.com